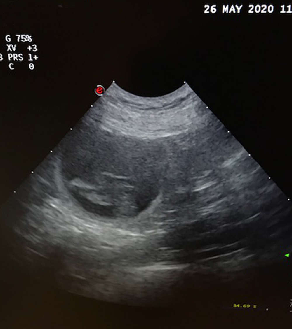
Uit de echo, gemaakt op 26 mei 2020 blijkt dat Toa (New Win Baltic Leon’s) drachtig is van één pup. De dekking was op 28 april 2020, vader van de komende pup is Niño from Yellow’s Garden.
De pup heeft nu al een (toekomstig) thuis, het heeft voor geïnteresseerde pupkopers geen zin om contact op te nemen.
The ultrasound, made on May 26, 2020, shows that Toa (New Win Baltic Leon’s) is pregnant with one puppy. The mating was on April 28, 2020, father of the upcoming pup is Niño from Yellow’s Garden.



